Category Archives: problems

US CEM Outbreak – Update

Posted: | September 24, 2024

US CEM Outbreak – Update The CEM outbreak in Florida continues to produce new cases. The initial animal was a mare identified following breeding in May. Tracebacks commenced and to date there are a total of 43 cases, which include 16 domestic ponies (2 stallions, 1 mare, and 13 geldings), 14 riding horses of various breeds (all geldings),… Read More »

CEM Identified in Florida

Posted: | May 29, 2024

CEM Identified in Florida “A mare in Florida (FL) has been confirmed culture positive by the USDA APHIS National Veterinary Services Laboratories (NVSL) for Taylorella equigenitalis, the bacterium that causes contagious equine metritis (CEM). The affected mare, the breeding stallion, and one other mare are under quarantine. A comprehensive epidemiological investigation is being conducted including traceback and history… Read More »

Monitoring for EVA

Posted: | September 23, 2023

Does Routine Monitoring for EVA Make a Difference? With the announcement this week of an outbreak of equine viral arteritis in PEI in Canada, a very reasonable question to ask is “does routine monitoring for EVA make a difference?” At the recent ISER meeting in Brazil, Kaps et al. reviewed the effects of monitoring and management practices on… Read More »

EVA Outbreak in Canada

Posted: | September 22, 2023

Canadian Equine Viral Arteritis! There has been an EVA outbreak in Canada reported in Prince Edward Island. Equine Viral Arteritis is predominantly a respiratory disease, which has reproductive implications. Symptoms vary dramatically from none (“asymptomatic”) to a wide variety which may present as any combination of the following: elevated temperature, depression, loss of appetite. Affected animals may also… Read More »

Badly Behaved Gelding

Posted: | August 13, 2023

The Badly Behaved Gelding – Hormonally Driven or Not? “That is a badly behaved gelding – he must be ‘proud cut’” or “I bet they left some testicular tissue in that badly behaved gelding” are two not infrequently-heard comments, or variations thereof, but how often is residual stallion-like or bad behaviour in a castrated stallion actually hormonally-driven? Omyla… Read More »

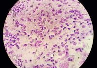
Bacterial Infection of a Stallion’s Reproductive Tract – Case Report

Posted: | June 15, 2022

Bacterial Infection of a Stallion’s Reproductive Tract – A case report of the bacterial infection of a stallion’s reproductive tract with images and outcome… A bacterial infection of a stallion’s reproductive tract is comparatively rare. When present, one of the first indicators is often the condition of the semen, or in the case of live cover where semen… Read More »

Contagious Equine Metritis – CEM

Posted: | October 31, 2021

Contagious Equine Metritis (CEM) – A notifiable disease, Contagious Equine Metritis poses a significant threat for domestic breeders and international trade. By Jos Mottershead and Kathy St. Martin History In the spring of 1977 a previously unidentified genital infection of the equine was observed in the United Kingdom and Ireland in Thoroughbreds. Mares were being found not pregnant… Read More »

Equine Viral Arteritis

Posted: | October 22, 2021

Equine Viral Arteritis (EVA) – a detailed and descriptive article about equine viral arteritis (EVA), a disease which has severe negative reproductive implications. By: Kathy St.Martina, Jos Mottersheada, Dr. Peter Timoneyb aEquine-Reproduction.com LLC, Wynnewood, OK 73098, USA; bDepartment of Veterinary Science, Gluck Equine Research Center, College of Agriculture, Food and Environment, University of Kentucky, Lexington, KY 40546, USA… Read More »

Individual Tuition

Posted: | December 17, 2020

One-on-one Horse Breeding Training While we are renowned for offering short courses on the subject of horse breeding worldwide, we not infrequently encounter people either at the courses or through our website who are in need of more specific one-on-one horse breeding training. Perhaps they do not own stallions but want to learn more about the reproductive aspects… Read More »

You’re Ready to Breed Your Mare – But is the Semen OK?

Posted: | December 15, 2020

The Semen Looked Bad – Or Is It? Maybe not as bad as you think! A review of what constitutes a cooled semen dose, looking at some newer research and older dogma. By Jos Mottershead and Kathy St. Martin During the course of the breeding season – especially on the EquineRepro Facebook Group that we manage – we… Read More »