Embryology – Different Stages of the Early Equine Pregnancy
All day numbers given here are the number of days post-ovulation on the conceiving cycle.
The 32 to 64 cell stage of a developing embryo is the morula. This stage is seen up to about day 6 post ovulation.
This image shows an expanded blastocyst. Note the regularity of the circular shape. The blastocyst stage of development is considered to be reached when the blastocele cavity, or yolk sac, is seen to be developed within the embryo. It is at this stage of development that embryo transfer is most commonly practised.
Between the time of descent into the uterus and up to about day 16 post-conception, the structure which is now commonly referenced as a “conceptus” is mobile within the uterus. One hypothesis suggests that this mobility is associated with the process of preventing luteolysis – destruction of the Corpus Luteum – which if occurring would cause a return to estrus and pregnancy loss.
In the time frame of 10-12 days, a process called “maternal recognition” occurs, and as the name indicates is where the mare’s body recognizes that it is pregnant. This too is associated with the prevention of luteolysis. It is interesting to note that the time frame for this occurring varies from mare to mare within the 10-12 day range, but is repetitious for each mare.

Day 14
Note that from the first time the conceptus has been visible on ultrasound at day 9, there has been an almost doubling in diameter each day, but after day 14 this doubling reduces, although the overall volume of the structure may be seen to increase.
By 17 days the regularity of shape is starting to deteriorate – note the “ragged” edges now seen on the 17-day pregnancy compared to the 16-day. This is perfectly normal and not generally an indication of a problem – do not give prostaglandin with the intention of starting over, or Regumate (or any progestin) to “maintain the pregnancy”!
By 21-23 days (and earlier with a good ultrasound and technical ability) the embryo proper can be seen with ultrasound – here it is visible between the red caliper marks on the image. The heartbeat can also start to be detected at this stage. Note here how the regular rounding has completely deteriorated, and the conceptus is appearing oval, and without “smooth” edges.
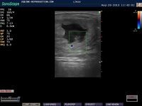
By day 23 or so (and earlier if color doppler ultrasound is used), a heartbeat should begin to be visible during the ultrasound process. the orange and blue dots on the embryo proper visible in this image are color doppler imagery indicating direction of blood flow.
At 33 days, the developing allantois (the outgrowth of the embryo’s hindgut which forms the bladder, carries blood vessels in the umbilical cord, and later combines with the chorion to form the placenta) is visible, and the yolk sac (visible here as the upper portion of the dark section) is regressing. The apparent “division” in the conceptus at this stage is not to be mistaken for twin embryos – of which clearly only one is visible.
A different view of a 35 day pregnancy shows that there can be differences of embryo position and yolk/allantoic sac size. The rotation of the uterus or horn can affect the apparent embryonic position.
By day 39 the yolk sac has almost completely regressed and is visible here only as the dark circular area immediately above the embryo (compare this with the 33 day image).
Around day 40 early equine pregnancy embryology terminology changes as the embryo officially becomes a fetus with the commencement of the placental formation. As can be seen in this image of a 50-day fetus, the legs, head, tail and eye are all clearly defined externally. Internally organs and skeletal structures are in place. The overall size is a little deceptive with this image, and it is in fact about one inch in length. Within 10 days or so, the sex of the fetus can be determined using ultrasound, by establishing the direction of migration of the pedicle that will become either the penis or the clitoris. Upward migration towards the anus of course indicates a female.
© 1991, 2020 Equine-Reproduction.com, LLC
Use of article permitted only upon receipt of required permission and with necessary accreditation.
Please contact us for further details of article use requirements.
Other conditions may apply.




